
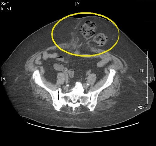
【記者葉柏成/新北報導】新北市立土城長庚醫院一般外科主任黃崧峰表示,研究顯示曾接受開腹手術的患者中,約有10%至30%可能出現腹壁切口疝氣。若未及時治療,疝氣可能隨時間逐漸變大,甚至導致腸道卡在缺口處形成「腸嵌頓」,進一步引發腸阻塞或腸道壞死等嚴重併發症,屆時不僅手術難度提高,對患者健康也可能造成更大威脅,因此一旦發現疤痕處反覆鼓起,應及早就醫檢查。
黃崧峰舉例76歲程先生個案說明,程先生多年前因腹腔腫瘤接受傳統開腹手術,術後追蹤情況一直穩定,未料近期發現過去的手術疤痕上方逐漸出現隆起腫塊,尤其在咳嗽或搬重物時更加明顯,但平躺後又會消失,反覆出現的情況讓他擔心是否為腫瘤復發,因而緊急就醫檢查。經醫師評估後發現,腫塊並非腫瘤,而是典型的「腹壁切口疝氣」。
黃崧峰指出,腹壁切口疝氣是腹部手術後常見的併發症之一,尤其曾接受傳統開腹手術的患者更容易發生。主要原因在於腹壁筋膜或肌肉在手術後未完全癒合,導致腹腔內的腸道或脂肪從腹壁缺口向外突出,形成可觸摸的腫塊。患者常見症狀包括腹部疤痕處隆起、咳嗽或用力時腫塊變得明顯,平躺後又可能暫時消失,因此容易被誤以為只是疤痕外觀變化。
他說,在治療方面,過去傳統腹壁切口疝氣修補手術通常需要再次切開較大的傷口,手術後疼痛較為明顯,恢復時間也較長,且復發風險相對較高。隨著微創手術技術發展,目前可透過腹腔鏡或機械手臂手術進行修補,僅需數個小切口即可完成疝氣缺口縫合與人工網膜置放,大幅減少組織破壞與術後疼痛,同時縮短住院及恢復時間。

值得注意的是,自2024年9月起,達文西機械手臂疝氣修補手術已納入健保給付。該系統具備高解析度3D立體影像與靈活精準的機械手臂操作,可在狹小空間中完成精細縫合與網膜固定,對於曾接受開腹手術或腹腔沾黏較嚴重的患者特別有幫助,也有助降低術後疼痛及復發機率。
程先生原本擔心再次手術會帶來劇烈疼痛與漫長恢復期,在與醫療團隊詳細討論後,決定接受達文西機械手臂疝氣修補手術。手術僅透過三個小孔完成疝氣缺口縫合與人工網膜置放,術後當天即可下床活動,疼痛感明顯減輕,傷口恢復也相當順利,讓他對治療結果感到滿意。
醫師提醒,腹壁切口疝氣並非單純的疤痕外觀問題,若發現腹部手術疤痕處出現反覆鼓起的情況,尤其在咳嗽、用力或站立時更加明顯,應儘早就醫評估。隨著手術方式日益多元,醫師會依據患者病史、腹壁狀況及疝氣大小,評估最適合的治療方式,協助患者在安全與恢復效果之間取得最佳平衡。
商傳媒|責任編輯/綜合外電報導 人工智慧工具正徹底改變大學程式設計教育,雖大幅提升學生寫程式效率,卻也引發學習投入度與基本技能不足的隱憂,並加速衝擊軟體工程職涯機會,迫使學界與學生重新思考未來。 人工智慧(AI)工具正徹底改變大學程式設計教育的樣貌,儘管大幅提升了程式編寫效率,卻也引發了學生學習投入度與基本技能不足的擔憂。這股趨勢不僅重塑了學生的學習方式,也對科技人才的就業市場帶來了衝擊。 大學講師艾瑞克·里斯(Eric Rees)指出,人工智慧在程式碼生成、偵錯及文件編寫等領域,顯著加速了開發流程,提升生產力。二年級資工系學生伽丹·辛格(Gadan Singh)將AI比喻為數學家使用計算機,認為它是一種能加快學習進程的工具。另一位二年級學生拉許爾·帕特爾(Rushil Patel)則表示,AI工具能透過簡單提示協助學生完成網站建置和專案開發,甚至可以將學習指南輸入 ChatGPT 以獲得幫助,導致個人學習投入度可能大幅下降。 對於學術誠信的影響,里斯講師觀察到,儘管AI工具普及,學生抄襲行為的本質並未改變,僅是取得抄襲內容的工具變得更容易且成本更低,因抄襲不及格的學生人數與AI出現前大致相同。 AI技術的快速發展也加劇了科技人才市場的變動。四年級資工系學生沙克提·達許(Shakti Dash)提到,軟體工程等特定領域的職缺機會正在減少,但許多公司正積極運用AI來創造優勢。里斯講師分析,資工領域的招聘放緩是多重因素造成的,主要是畢業生供給過剩,而AI則加速了這場「課程修正」。帕特爾也指出,許多資工系學生因就業壓力而選擇修讀輔系或另尋出路。 教育界正積極因應這項變革,許多教授已調整教學方式,允許學生在資工課程中適當使用AI工具。辛格認為,讓下一代學習AI的正確使用方式是相當有益的。然而,AI模型的局限性也引發隱憂。里斯講師表示,大型語言模型(LLM)雖能精準重現人類知識,卻無法表達原創思想,這是一個主要瓶頸。帕特爾進一步擔憂,若學生過度依賴AI完成學業,可能缺乏紮實的程式設計基礎知識,進而影響畢業後的求職競爭力。這凸顯了AI技術所帶來的承諾與風險並存的局面。
文/李家同 很多年前,有一位伊朗人寫信給我,問我一個有關演算法的問題。這是因為他對演算法有興趣,也讀了一篇我當時寫的演算法論文。我問他在哪裡工作,他告訴我他是一個水泥匠工人,他只有大學文憑,但是他就是對演算法有興趣,常常看演算法的論文。演算法的論文是不容易懂的,一位沒有讀過研究所的學生能夠自己看懂演算法,令我非常驚訝。 可是我也感到相當替他難過,如此聰明的孩子不能發揮所長,可見得伊朗是一個相當不正常的國家。 現在伊朗在戰爭的狀況之中,戰爭何時能夠平息,我完全不知道。但是我有一個感覺,即使伊朗戰事平息了,伊朗政府可能更加獨裁,伊朗政府一定更加要發展武力來保護自己。寫信給我的那位學生更不可能利用他的腦力替伊朗有所貢獻。 伊朗的老百姓真是不幸也。 作者簡介| 李家同教授,台灣資訊科學家、作家。曾任國立清華大學教務長、靜宜大學與國立暨南國際大學校長、暨大資訊工程學系及資訊管理學系教授。目前於國立清華大學兼任教職
圖:太平洋房屋土城金城加盟店提供。 【記者張嘉誠/綜合報導】 在瞬息萬變的房地產市場中,買房賣房不只是交易,更是一場關於家庭資產與人生規劃的決策。一位在業內深耕近二十年的房仲專家——朱宏杰指出:「真正的專業,來自於不只站在銷售端,更曾親身站在風險承擔的那一方。」他任職於太平洋房屋土城金城加盟店,以其獨特的「投資人視角」與「顧問式服務」,成為在地客戶與跨區移居者口中值得信賴的對象,更是許多人在進行地產決策時,首要土城房仲推薦的專業人士。 二十年磨一劍:從直營基本功到投資市場的淬鍊 朱宏杰的房仲生涯起點於新北市土城區的直營體系,扎實練就了不動產交易的全流程基本功。隨後轉戰台北市核心的大安、中正區,歷經8-9年高總價、多元產品買賣的洗禮,累積了對市場價格與客戶需求的深度理解。然而,他不僅止步於仲介角色,更曾毅然轉身成為「買斷型」不動產投資人,親身經歷籌措資金、承受市場波動、精算進出場時機的全過程,並深刻體會銀行估價與市場實際成交價格之間的微妙差距。 「這段經歷讓我學到最重要的一課是:『這個價格,未來到底賣不賣得掉?』」他坦言,親自承擔過風險後,看待每一筆交易的角度全然不同。如今,朱宏杰選擇帶著這份寶貴的「風險意識」回歸第一線仲介服務,深耕最初的起點——土城區及周邊,目標是成為客戶資產的「守門人」。 圖:太平洋房屋土城金城加盟店提供。 洞見土城市場:穩健紅利與重劃區的理性解讀 針對主要服務區域,他提出精闢的市場洞察。他分析,土城區長期擁有穩健的四大支柱: 一是捷運板南線、三鶯線及未來萬大線所帶來的交通紅利; 二是穩定的自住人口結構,並非純炒作市場; 三是相對台北市更為親民的房價,持續吸引首購與換屋族; 四則是重大建設持續發酵,如金城交流道、土城長庚醫院、司法園區遷移與中工雲宇宙 AI 園區等,不斷提升區域能見度。 而備受關注的土城重劃區,他則提出理性分析:「新案價格已與舊市區拉開差距,呈現『產品分化』趨勢。」他提醒,重劃區物件的保值關鍵,在於生活機能成熟度、社區規模與產品定位,並非所有物件都具備同等潛力。此外,土城舊市區、樹林及板橋邊緣帶,因房價形成有效的「緩衝帶」,也成為務實買方的重要替代選項。這份客觀分析的能力,正是資深顧問能提供的重要價值,也是為何尋求專業土城房仲推薦時,市場洞察力成為關鍵指標。 差異化優勢:誠實分析,拒絕盲目成交的顧問哲學 「我與其他同業最大的不同,在於我『真的買過、也擔心過』。」朱宏杰直言,正因經歷過投資人的資金壓力,他的服務核心強調「誠實分析」與「風險告知」。他擅長從銀行鑑價邏輯、實際成交動能、以及物件未來流通性等角度進行評估,甚至不惜在市場高風險時點「勸退」客戶,避免其陷入財務困境。 他的主要服務項目也圍繞此核心展開,包括:不動產買賣整合、深度價格與投資可行性評估,以及為賣方客戶量身訂做的出售策略規劃,而非制式化上架。這種顧問模式,特別吸引土城在地換屋族、雙北通勤首購族,以及理性的資產配置型客戶。 圖:太平洋房屋土城金城加盟店提供。 服務的根本:建立信任,超越單次交易的關係 令人印象深刻的是,他的服務口碑常來自那些「看似未成交」的案例。例如,曾協助屋主在市場停滯期,透過重新包裝產品、調整銷售節奏而非一味降價,最終成功售出;也曾因勸阻客戶在價格高點衝動進場,雖失去當時的佣金,卻贏得了客戶長久的信任與後續的轉介紹。對朱宏杰而言,成交是結果,但協助客戶做出「正確的決策」才是過程中最重要的事。 對於正在土城區及周邊尋找房產服務的民眾而言,一位兼具深厚在地經驗、宏觀市場視野,並能站在買賣方真實利益思考的專業顧問,無疑是最強大的後盾。這也正是為何朱宏杰的專業經歷與服務哲學,使其成為區域內備受推薦的房仲專家。 土城房仲推薦-朱宏杰 企業品牌名: 太平洋房屋土城金城加盟店 服務專線:02-8262-1119 行動電話:0953-555-559 店面地址:新北市土城區金城路三段21號 深耕區域:新北市土城區、土城重劃區、樹林及板橋交界生活圈 591: https://m.591.com.tw/v2/userCenter/digital-card/4913 Line ID: 0953555559